BEFORE & AFTER PHOTO GALLERY
All work performed by Dr. Nick Boutselis and photos have not been altered in any way.
BEFORE AND AFTER

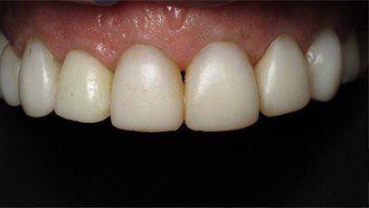
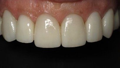
Patient was unhappy with old, worn out fillings on front teeth

Porcelain Veneers were placed

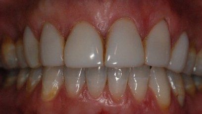
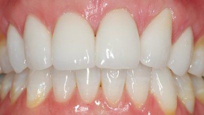
Patient wanted a new "Bright and White" smile

Patient is very happy with her new porcelain crowns

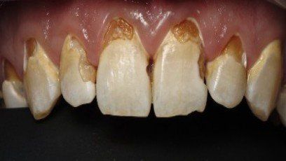
Patient unhapppy with worn down white fillings

Patient is very happy with her porcelain veneers

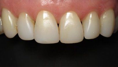
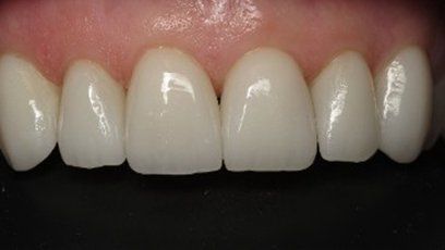
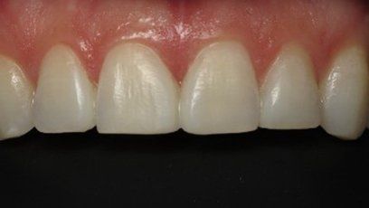
Patient had severly worn down front teeth from grinding

Patient could not do crowns yet so white fillings were placed to rebuild patients smile until crowns could be placed

Patient was unhappy with spaces between front teeth

Spaces closed with white filling material

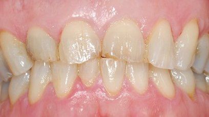
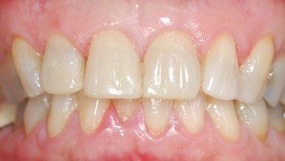
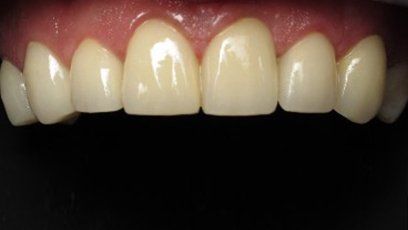
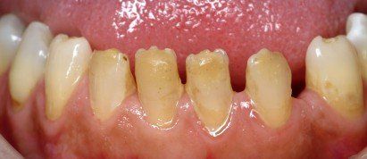
Patient had large cavities in all front teeth

Crowns used to strengthen teeth and give patient a great smile again

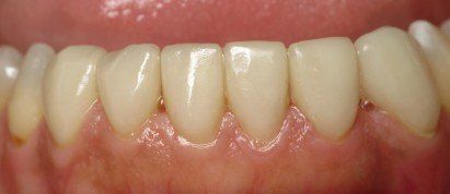
Patient unhappy with spacing and size of lower front teeth

Patient very happy with her porcelain veneers
381 Main St, Tewksbury MA 01876


978-640-1117


